2222
40+4
11x4
1628/37
000101100
Notre 44ème Séminaire de Cardiologie Congénitale et Pédiatrique de Necker ne sera pas thématique pour une fois. Nous picorerons dans une déambulation sans véritable objectif que celui de chercher notre chemin dans les variations autour de quelques sujets choisis.
Le terme variations est polysémique. Ses significations sont nombreuses parfois au sein d’un même domaine. Nous vous laisserons l’entendre comme un aria des variations Goldberg, le comprendre comme une mutation préparant des évolutions attendues ou l’interpréter comme un outil pour percevoir le futur en perspective cavalière. Il y a deux Gould au début de cette histoire : Glenn, l’interprète de Bach au piano pour ses variations en contrepoint, et Steven Jay pour ses équilibres ponctués. Nous ferons donc des digressions et des da capo autour de grands classiques et nous ferons le point sur des variants possibles de ces banalités.
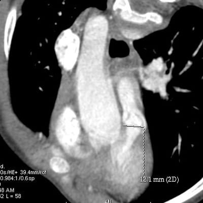
Les variations de forme d’une même cardiopathie pourraient constituer un séminaire entier. Nous avons isolé la coarctation de l’aorte pour raconter l’histoire de ses variants. Ceux-ci peuvent être importants ou être des variations morphologiques sans intérêt pour le patient ou son médecin. Certains détails peuvent avoir des conséquences diaboliques ou faire qu’une coarctation n’en est pas une.
Nous consacrerons une séance aux obstacles sous aortiques de nature variable et évolutifs avec le temps, ce qui reste dans le thème.
Il y a ceux qui sont là, ceux qui apparaissent, ceux que l’on crée et puis la question lancinante de savoir ceux qu’il faut ôter sans savoir précisément quand ou comment.
Les oreillettes et les auricules sont en amont de ce qui peut paraitre important ; l’amont de tout mais rien d’important en cardiologie. Pour nous, cardiologues congénitalistes, ce sont des structures respectées et pas seulement des lieux de passage. Si les communications interatriales sont le plus souvent simples, il est en de difficiles et les questions autour de l’anatomie des oreillettes restent pertinentes tout comme celles qui justifient que nous intervenions pour d’autres raisons que les honoraires de l’implantation d’une prothèse.
1er, 2ème avec des variantes, 3ème degré. Les blocs atrio-ventriculaires sont les déclinaisons d’une conduction variable. Évolutifs ou résolument complets, leurs variations imposent des actions plurielles en fonction de l’âge, des circonstances et du contexte de leur survenue. Comment les dépister, les surveiller, les appareiller sont autant de questions que de débats.
Les variations génétiques suffisent-elles à expliquer le phénotype ? Si elles sont aléatoires, comment le développement impose-t-il un nombre fini et discret d’aboutissements ? Ces variations nous apprennent-elles quelque chose d’utile pour nos patients ? Les comparaisons entre espèces nous renseignent-elles sur l’évolution ou la sélection qui a produit les cardiopathies congénitales et qui les fait se reproduire avec une constance qui nous surprend ?
La principale morbidité des cardiopathies congénitales, les troubles du neurodéveloppement, a une prévalence considérable mais la prise de conscience de celle-ci et de ses impacts sur la vie quotidienne des enfants et des adultes que nous suivons est très récente. Les phénotypes, les mécanismes en cause, les mutations génétiques associés sont variées tout comme les actions de remédiation qui peuvent être appliquées.
Il n’y a pas de révolution dans les traitements des malformations cardiaques mais des évolutions parfois graduelles mais plus souvent avec des petits sauts. Tous les domaines sont changeants et tous ont des perspectives. Nous essaierons d’entrevoir comment nos prescriptions ou nos gestes techniques vont se modifier dans les années prochaines.
Nous espérons que vous nous suivrez dans ce manque d’ordre ou cette absence de fil conducteur et que vous déciderez finalement comme le héros de Jim Harrison en route vers l’ouest que « c’est précisément ce désordre qui accorde à la nature toute sa beauté ».
Damien BONNET Lucile HOUYEL Olivier RAISKY Fanny BAJOLLE